|
|||
|
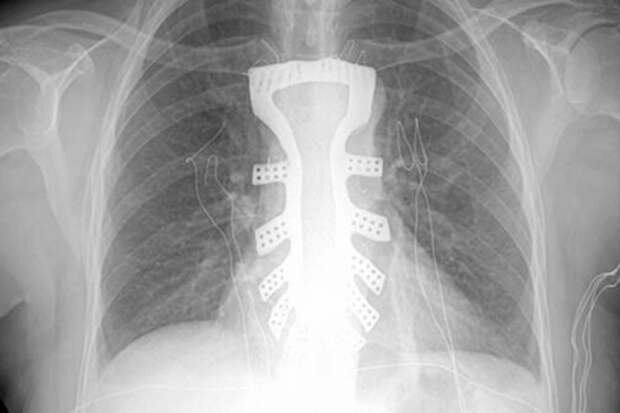
Un equipo médico chino implantó con éxito un esternón de titanio fabricado con una impresora 3D a una mujer que padecía un tumor en ese hueso, en la primera operación de este tipo que se realiza en el país.
La intervención fue realizada a finales de junio en el hospital Tangdu de Xian, capital de la provincia central de Shaanxi, informó hoy la agencia oficial Xinhua.
La receptora, de apellido Gu, es una jubilada de 54 años de la provincia central de Henan y se encuentra recuperándose de la operación, si bien no ha sufrido ninguna complicación, según confirmó la paciente desde el centro hospitalario.
El año pasado Gu fue diagnosticada de un tumor en su esternón, que medía entre 6 y 7 centímetros de diámetro antes de la operación, explicó Wang Xiaoping, veterano cirujano del hospital que la operó.
Los médicos dedicaron medio mes a diseñar el esternón de Gu y solicitaron la ayuda de un laboratorio especializado de la Universidad Politécnica del Noroeste para imprimirlo con tecnología 3D.
Los implantes fabricados con impresoras 3D se han extendido por China desde el año pasado impulsados sobre todo por el Hospital de la Universidad de Pekín, dos años después de realizar la primera operación con un implante de este tipo.
Investigadores chinos en medicina investigan también la construcción de órganos mediante las técnicas de impresión 3D.
Y el pasado año expertos de la Universidad Huazhong de la provincia oriental de Zhejiang afirmaron haber conseguido "crear" prototipos de riñones humanos con esta nueva tecnología.
Fuente: Clarin.com





















